knee

knee

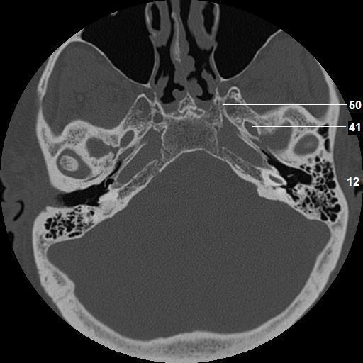
12. basal turn, cochlea

41. foramen ovale

50. vidian canal