knee

knee

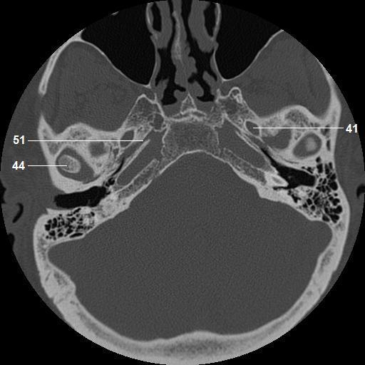
41. foramen ovale

44. head, mandibular condyle

51. petrosphenoidal fissure