knee

knee

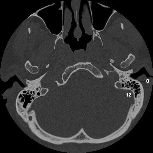
8.   descending facial nerve canal

12. sigmoid sinus