knee

knee

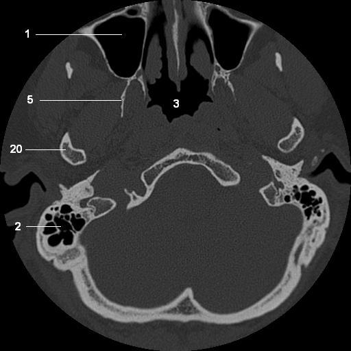
1.   maxillary sinus

2.   mastoid air cells

3.   nasopharynx

5.   lateral pterygoid plate

20. mandible