mesenteric

knee

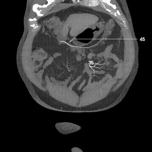
35. jejunal arteries

45. right gastroepiploic artery 

                                   

 www.konez.com                                         konez.com/anatomy.htm