mesenteric

knee

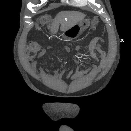
8.   liver

30. middle colic artery

                                   

 www.konez.com                                         konez.com/anatomy.htm