mesenteric arteriogram

knee

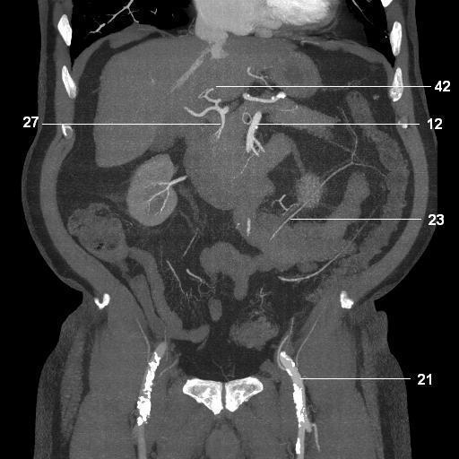
12. superior mesenteric artery

21. common femoral artery

23. ascending left colic artery

27. gastroduodenal artery (GDA)

42. left hepatic artery

                                   

 www.konez.com                                         konez.com/anatomy.htm