cta

knee

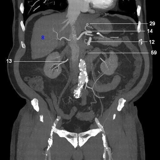
8.   liver

12. SMA

13. right renal artery

14. celiac artery

29. left gastric artery

59. posterior inferior pancreaticoduodenal a.

                                   

 www.konez.com                                         konez.com/anatomy.htm